リウマチセンター
リウマチセンターとは
関節リウマチは、病初期は内科的な薬物治療、進行すると整形外科的治療が必要な疾患です。
高齢化社会となるにつれて、運動器疾患は増加の一途をたどっていますが、その中でも関節リウマチは青壮年時期から発症し生涯にわたって治療が必要です。一般的には内科・整形外科が単独で診察を行っている病院が多く、各科の統合的治療がスムーズになされていないのが現状です。当院では診療科の垣根を越えた診療体制を構築するためリウマチセンターを開設しています。内科リウマチ専門医と整形外科リウマチ専門医が同時に診療することにより、リウマチ症例の診断から、治療までトータルマネージメントを行います。リウマチ内科とリウマチ外科が、チームを組んで治療を行うことで、薬物療法による寛解を目指した十分なコントロールと適切な時期に手術加療を行うシームレスな治療が可能です。そのために、関節エコー検査を積極的に行い、炎症組織の可視化に努めています。さらに当院では皮膚科の協力を得て乾癬性関節炎などの皮膚疾患に関連した関節炎に対してもトータルマネージメントができることが特徴です。
さらに当リウマチセンターは一次、二次医療圏の中でのリウマチセンターとして役割を担います。
関節リウマチを始めとするリウマチ・膠原病類縁疾患の症例は、合併症などで入院を含めた高度な医療が必要になったときに、原疾患の病状が落ち着いていても専門医の不在を理由に多くの医療機関でしばしば受け入れ困難と断られる傾向にあります。当センターは一次医療圏の医療施設、二次医療圏すなわち大阪市内と周辺地域のリウマチ専門施設と連携し大切な患者様の受け入れ先としての役割を担い、安心して日常診療を行っていただけるようにバックアップ体制を敷いております。当センターの母体となっている総合診療内科はリウマチ膠原病だけでは無く、総合内科としての対応が可能であることではじめてこの体制が可能になりました。
関連部門
スタッフ紹介
| 氏名 | 役職 | コメント |
| 多田 昌弘 | センター長 整形外科 |
リウマチ患者さんの日常生活改善を目指して、診断、エコー検査、治療、手術を行っています。 リウマチだからとあきらめている患者さんを最先端の治療で笑顔にしたいと思います。 関節リウマチの筋肉に対する影響に関心を持って、診療を行っています。 一緒にリウマチに立ち向かいましょう! |
| 中村 友之 |
副センター長 |
リウマチ診療について、チーム医療を実践し、内科的役割に尽力いたします。 |
| 松浦 正典 | 整形外科 | 関節リウマチに伴う下肢の大関節(股関節・膝関節)の治療(人工関節)を主に担当しています。変形のある方のご相談をお待ちしています。 |
| 山上 啓子 | 総合診療内科 | リウマチセンターでは整形外科、内科で協力しながら、主に内科系合併症のある患者さん中心に診療しております。よろしくお願いします。 |
受診にあたって
地域医療機関の方へ
診断に困ったとき、生物学的製剤や手術療法が必要か迷ったとき、治療に難渋したとき、合併症や治療による有害事象が発生したときなど、何なりとご相談ください。
- 関節痛があるのに鑑別診断が困難な場合、専門医の診察や画像評価を希望された場合は総合診療科の後藤仁志医師が担当するリウマチ専門外来(月・水)、整形外科の多田昌弘医師が担当する整形外科リウマチ外来(火・金)にご相談下さい。すでに診断がついていても、関節炎のコントロールが困難な場合、生物学的製剤の導入を考えられた場合、合併症があるため抗リウマチ薬の選択が困難な場合にもご相談ください。手術適応に迷われた場合も整形外科リウマチ外来(火・金)に早めにご相談いただければタイミングを逃さず対応いたします。
- 膠原病を疑った場合、発熱や非特異的な症状、所見のみで診断がつかず、何科に相談していいのかわからない場合、原疾患や薬剤のよる臓器障害出現時など緊急を要する場合は通常の総合診療科外来(毎日)にご相談ください。
- 進行した関節リウマチを中心とした破壊性関節炎の治療難渋症例については各科の医師が同じ診察室で診察し協議しながら治療計画を立てる専門外来のシステムも導入しております。薬物療法、装具療法、手術療法、リハビリテーションなど多くのメディカルスタッフが同時にかかわることができる体制を敷いております。
- 入院(転院)の必要が有ると判断されましたら、地域医療連携室を通してご一報ください。総合診療科スタッフのホスピタリストとして機動力を生かして迅速に対応させていただきます。
リウマチ性疾患は超慢性疾患ですので、生涯にわたるフォローアップが必要であり、先生方のご協力が欠かせません。当院のリウマチセンターは前述のように2つの役割を目指しています。連携を何卒よろしくお願いいたします。

超音波で滑膜炎(関節リウマチによる炎症)が一目瞭然です。

リウマチに関するスタッフで情報の共有、勉強会を週1回行っています。
15秒で、筋肉量、体脂肪率、基礎代謝などがわかります。
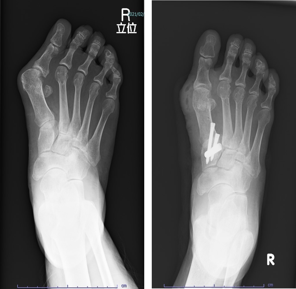
外反母趾や足趾変形をあきらめないで、ご相談してください。
